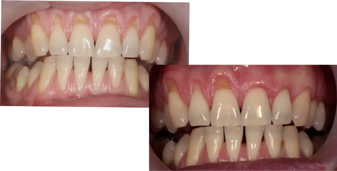
Przeszczep dziąsła to skuteczny sposób na recesję i nadwrażliwość, choć wymaga rekonwalescencji
- Koszty: Za jeden ząb od 1500 zł do 3500 zł; za kilka zębów od 4000 zł do nawet 8000 zł.
- Ból: Umiarkowany, kontrolowany lekami, większy dyskomfort w miejscu pobrania przeszczepu (najczęściej podniebienie).
- Rekonwalescencja: Dolegliwości bólowe trwają 3-7 dni; pełne gojenie kilka tygodni; ostateczny efekt po 3-6 miesiącach.
- Wskazania: Postępująca recesja dziąseł, nadwrażliwość szyjek zębowych, względy estetyczne, przygotowanie do leczenia ortodontycznego/protetycznego.
- Przeciwwskazania: Zła higiena, stany zapalne, nieustabilizowana paradontoza, palenie papierosów, niektóre choroby ogólnoustrojowe.
- Refundacja: Zabieg przeszczepu dziąsła nie jest refundowany przez NFZ.
- Skuteczność: Bardzo wysoka i trwała na wiele lat, pod warunkiem prawidłowej kwalifikacji i dbałości o higienę.

Recesja dziąseł: dlaczego nie wolno jej lekceważyć?
Jako periodontolog, często spotykam się z pacjentami, którzy bagatelizują problem recesji dziąseł, traktując go jedynie jako defekt estetyczny. Tymczasem jest to poważna kwestia zdrowotna, która wymaga uwagi i często interwencji.
Czym jest recesja dziąseł i dlaczego nie wolno jej lekceważyć?
Recesja dziąseł to nic innego jak cofanie się linii dziąseł, co prowadzi do odsłaniania korzeni zębów. To proces, który może mieć wiele przyczyn. Najczęściej obserwuję go u pacjentów, którzy zbyt agresywnie szczotkują zęby, używając twardej szczoteczki lub nieprawidłowej techniki. Inne powody to stany zapalne dziąseł (np. zapalenie dziąseł, paradontoza), wady zgryzu, nieprawidłowo wykonane wypełnienia lub korony, a także czynniki genetyczne. Niezależnie od przyczyny, odsłonięte korzenie zębów są znacznie bardziej narażone na próchnicę, ponieważ nie są pokryte ochronnym szkliwem. Mogą również prowadzić do utraty zęba w skrajnych przypadkach, gdy uszkodzenie jest zbyt rozległe.Odsłonięte szyjki zębowe i bolesna nadwrażliwość najczęstsze sygnały alarmowe
Pierwszym i najczęściej zgłaszanym objawem recesji dziąseł jest nadwrażliwość zębów. Pacjenci skarżą się na ostry, przeszywający ból w kontakcie z zimnymi napojami, gorącymi potrawami, słodkimi przekąskami, a nawet podczas wdychania zimnego powietrza. Ból może pojawić się również podczas szczotkowania zębów. Wizualnie recesja objawia się jako wydłużone korony zębów, które wyglądają na dłuższe niż są w rzeczywistości. Można również zauważyć, że dziąsła wokół niektórych zębów są niżej położone niż w innych miejscach, tworząc nieestetyczną, nierówną linię.
Estetyka kontra zdrowie: Jak cofające się dziąsła wpływają na Twój uśmiech i samopoczucie?
Oczywiście, recesja dziąseł ma ogromny wpływ na estetykę uśmiechu. Dłuższe zęby, widoczne ciemniejsze korzenie i zaburzona linia dziąseł mogą sprawić, że pacjenci czują się niekomfortowo, unikają uśmiechu i tracą pewność siebie. To z kolei przekłada się na obniżoną samoocenę i dyskomfort społeczny. Jednak, jak już wspomniałam, problem wykracza poza sam wygląd. Odsłonięte korzenie są bardziej podatne na ścieranie, próchnicę i choroby przyzębia. Dlatego tak ważne jest, aby nie lekceważyć tych sygnałów i podjąć odpowiednie kroki, zanim problem stanie się jeszcze poważniejszy.
Przeszczep dziąsła krok po kroku: na czym polega zabieg?
Kiedy już zrozumiemy powagę recesji dziąseł, naturalnym krokiem jest poszukiwanie skutecznego rozwiązania. Przeszczep dziąsła to jedna z najskuteczniejszych metod leczenia, która pozwala na odbudowę utraconej tkanki i ochronę zębów. Przyjrzyjmy się, jak wygląda ten zabieg.
Skąd dentysta bierze "nowe" dziąsło? Najpopularniejsze metody pobierania przeszczepu
W większości przypadków, kiedy mówimy o przeszczepie dziąsła, mamy na myśli przeszczep autogenny, co oznacza, że tkanka pobierana jest od samego pacjenta. Najczęściej materiał do przeszczepu pobiera się z podniebienia. Jest to tkanka o odpowiedniej grubości i strukturze, która doskonale nadaje się do pokrycia odsłoniętych korzeni. Istnieją różne techniki pobierania przeszczepu z podniebienia, np. przeszczep tkanki łącznej czy nabłonkowo-łącznotkankowy. Mniej inwazyjną alternatywą, która pozwala uniknąć pobierania tkanki z podniebienia, jest zastosowanie materiałów allogenicznych, takich jak Acellular Dermal Matrix. Są to specjalnie przygotowane membrany, które pełnią rolę rusztowania dla regenerujących się tkanek pacjenta. Decyzja o wyborze metody zawsze podejmowana jest indywidualnie, po dokładnej ocenie przypadku.
Od znieczulenia po ostatni szew jak realnie wygląda przebieg wizyty?
Rozumiem, że myśl o zabiegu chirurgicznym w jamie ustnej może budzić obawy, ale chcę Państwa uspokoić. Cały zabieg przeszczepu dziąsła odbywa się w znieczuleniu miejscowym, co oznacza, że nie odczują Państwo bólu. To tak, jak przy zwykłym wypełnieniu zęba. Po podaniu znieczulenia, lekarz delikatnie pobiera tkankę z podniebienia (jeśli jest to przeszczep autogenny) lub przygotowuje materiał allogeniczny. Następnie, w miejscu recesji, przygotowuje się tzw. miejsce biorcze, czyli obszar, gdzie zostanie umieszczony przeszczep. Po precyzyjnym umieszczeniu przeszczepu, jest on stabilizowany za pomocą bardzo cienkich szwów, które zapewniają jego prawidłowe przyjęcie się. Cała procedura jest zazwyczaj szybka i precyzyjna, a Państwa komfort jest dla nas priorytetem.
Czy istnieją mniej inwazyjne techniki? Nowoczesne podejście do regeneracji dziąseł
Nowoczesna periodontologia stale się rozwija, oferując coraz bardziej zaawansowane i mniej inwazyjne techniki. Oprócz klasycznych przeszczepów, stosujemy również techniki tunelowe, które minimalizują nacięcia i przyspieszają gojenie. Coraz częściej wykorzystuje się także biomateriały, które stymulują naturalną regenerację tkanek. Dzięki nim, w niektórych przypadkach, jesteśmy w stanie osiągnąć doskonałe rezultaty przy mniejszym dyskomforcie pozabiegowym. Wybór odpowiedniej techniki zawsze zależy od indywidualnej sytuacji klinicznej pacjenta.
Kto powinien rozważyć przeszczep dziąsła? Wskazania i przeciwwskazania
Decyzja o poddaniu się przeszczepowi dziąsła powinna być zawsze poprzedzona szczegółową konsultacją z periodontologiem. To ja, jako specjalista, oceniam, czy zabieg jest dla Państwa odpowiedni i przyniesie oczekiwane rezultaty. Istnieją konkretne wskazania, ale także przeciwwskazania, które musimy wziąć pod uwagę.
Kiedy periodontolog mówi "tak"? Główne powody medyczne do wykonania przeszczepu
Istnieje kilka kluczowych sytuacji, w których przeszczep dziąsła jest nie tylko zalecany, ale wręcz niezbędny dla zdrowia jamy ustnej:
- Postępująca recesja dziąseł, grożąca dalszym uszkodzeniem zęba i jego struktur podporowych.
- Znaczna nadwrażliwość odsłoniętych szyjek zębowych, która utrudnia codzienne funkcjonowanie, jedzenie, picie i higienę.
- Względy estetyczne, gdy recesja znacząco wpływa na wygląd uśmiechu, powodując dyskomfort psychiczny.
- Przygotowanie do leczenia ortodontycznego, aby zapobiec dalszej recesji w trakcie przesuwania zębów, które mogą być obciążone siłami ortodontycznymi.
- Przygotowanie do leczenia protetycznego, np. przed założeniem koron czy mostów, aby zapewnić odpowiednie podparcie i estetykę dla przyszłych uzupełnień.
Czy warto robić przeszczep tylko dla poprawy wyglądu? Względy estetyczne
Absolutnie tak! W mojej praktyce często obserwuję, jak poprawa estetyki uśmiechu idzie w parze z eliminacją problemów zdrowotnych. Odsłonięte korzenie nie tylko wyglądają nieestetycznie, ale są też bardziej podatne na próchnicę. Zatem, jeśli recesja dziąseł wpływa na Państwa samopoczucie, obniża pewność siebie i sprawia, że unikają Państwo uśmiechu, decyzja o zabiegu ze względów estetycznych jest w pełni uzasadniona. Dążenie do pięknego i zdrowego uśmiechu to inwestycja w komfort życia, która jest równie ważna, co eliminacja bólu czy nadwrażliwości.
Kiedy zabieg może przynieść więcej szkody niż pożytku? Najważniejsze przeciwwskazania
Niestety, nie każdy pacjent kwalifikuje się do przeszczepu dziąsła. Istnieją pewne przeciwwskazania, które musimy wziąć pod uwagę, aby zapewnić bezpieczeństwo i skuteczność zabiegu:
- Zła higiena jamy ustnej i brak motywacji do jej poprawy. Bez odpowiedniej higieny ryzyko niepowodzenia jest bardzo wysokie.
- Aktywny stan zapalny dziąseł i przyzębia najpierw należy go wyleczyć, ponieważ infekcja uniemożliwi przyjęcie się przeszczepu.
- Nieustabilizowana choroba przyzębia (zaawansowana paradontoza). W takich przypadkach najpierw musimy opanować chorobę podstawową.
- Palenie papierosów znacząco pogarsza gojenie, zmniejsza ukrwienie tkanek i zwiększa ryzyko niepowodzenia przeszczepu. Zawsze zalecam pacjentom rzucenie palenia przed zabiegiem.
- Niektóre choroby ogólnoustrojowe, np. niekontrolowana cukrzyca, choroby autoimmunologiczne, które mogą wpływać na proces gojenia.
- Ciąża i karmienie piersią są zazwyczaj tymczasowymi przeciwwskazaniami.
Przeszczep dziąsła: czy to się opłaca? Bilans zysków i strat
Podejmując decyzję o zabiegu, naturalne jest zastanawianie się nad jego opłacalnością. Przeszczep dziąsła to inwestycja zarówno finansowa, jak i czasowa ale w mojej opinii, korzyści, jakie przynosi, często przewyższają potencjalne wady.
Główne zalety: Jakie długotrwałe korzyści możesz zyskać?
Zabieg przeszczepu dziąsła oferuje szereg znaczących, długotrwałych korzyści, które poprawiają zarówno zdrowie, jak i komfort życia pacjenta:
- Zatrzymanie postępu recesji dziąseł i ochrona korzeni zębów przed dalszym odsłanianiem, co zapobiega próchnicy i utracie zęba.
- Eliminacja lub znaczne zmniejszenie nadwrażliwości zębów na bodźce termiczne i chemiczne, co pozwala na swobodne spożywanie ulubionych potraw i napojów.
- Poprawa estetyki uśmiechu poprzez przywrócenie naturalnej, harmonijnej linii dziąseł, co przekłada się na większą pewność siebie.
- Wzmocnienie struktury dziąseł wokół zębów, zwiększając ich odporność na urazy mechaniczne i dalsze cofanie.
- Długotrwała skuteczność i trwałość efektów, często na wiele lat, pod warunkiem prawidłowej higieny i regularnych kontroli.
Potencjalne wady: Ból, koszty i ryzyko, o których musisz wiedzieć
Oczywiście, jak każdy zabieg chirurgiczny, przeszczep dziąsła wiąże się z pewnymi niedogodnościami i ryzykiem, o których należy wiedzieć:
- Umiarkowany ból i dyskomfort pozabiegowy, szczególnie w miejscu pobrania przeszczepu (najczęściej podniebienie). Jest on jednak zazwyczaj dobrze kontrolowany lekami przeciwbólowymi.
- Wysokie koszty zabiegu, które, jak już wspominałam, nie są refundowane przez NFZ. To znacząca inwestycja finansowa.
- Konieczność przestrzegania zaleceń pozabiegowych i okres rekonwalescencji, który wymaga dyscypliny i cierpliwości.
- Ryzyko powikłań, choć rzadkie (np. infekcja, częściowa utrata przeszczepu, niewielka zmiana koloru dziąsła). Zawsze omawiam je szczegółowo z pacjentem.
- Możliwość powstania blizny w miejscu pobrania przeszczepu (zazwyczaj na podniebieniu, niewidoczna i z czasem staje się mniej odczuwalna).
Efekt "wow" czy subtelna poprawa? Ustal realistyczne oczekiwania wobec wyników
Bardzo ważne jest, aby mieć realistyczne oczekiwania co do ostatecznego wyglądu i czasu gojenia po przeszczepie dziąsła. Choć zabieg przynosi znaczące i trwałe korzyści, efekt jest zazwyczaj naturalny i harmonijny, a nie zawsze "idealny" w rozumieniu hollywoodzkiego uśmiechu. Pełna integracja przeszczepu i ostateczny wygląd dziąsła widoczne są dopiero po kilku miesiącach. Moim celem jest przywrócenie zdrowia i funkcji, a także estetyki, która będzie naturalnie pasować do Państwa uśmiechu. Zawsze staram się jasno przedstawić, czego można się spodziewać, aby uniknąć rozczarowań.

Rekonwalescencja po przeszczepie dziąsła: jak wrócić do normalności?
Po zabiegu przeszczepu dziąsła, kluczowe jest przestrzeganie zaleceń pozabiegowych. To właśnie od Państwa zaangażowania w proces rekonwalescencji w dużej mierze zależy sukces całego leczenia. Chcę Państwa przeprowadzić przez ten okres, krok po kroku.
Pierwsze 48 godzin kluczowy czas, od którego zależy sukces gojenia
Pierwsze dwie doby po zabiegu są absolutnie krytyczne dla prawidłowego przyjęcia się przeszczepu. W tym czasie zalecam unikanie wszelkiego wysiłku fizycznego proszę zrezygnować z siłowni, biegania czy ciężkich prac domowych. Na zewnątrz policzka, w okolicy operowanej, należy regularnie stosować zimne okłady, co pomoże zmniejszyć obrzęk i zminimalizować dyskomfort. Niezwykle ważne jest również unikanie gorących napojów i twardych pokarmów. Przez ten czas proszę pić chłodne płyny i spożywać miękkie, letnie posiłki. Pamiętajmy, że przestrzeganie tych zaleceń jest kluczowe dla prawidłowego ukrwienia i integracji przeszczepu.
Dieta, higiena i zalecenia pozabiegowe Twoja rola w procesie leczenia
Państwa rola w procesie gojenia jest nieoceniona. Oto najważniejsze zalecenia, których należy przestrzegać:
- Dieta: Przez 1-2 tygodnie stosujemy miękką, chłodną dietę. Unikamy ostrych, gorących, twardych i lepkich potraw, które mogłyby podrażnić lub uszkodzić przeszczep.
- Higiena: To bardzo ważne przez określony czas (zazwyczaj 1-2 tygodnie) unikamy szczotkowania w operowanym miejscu. Zamiast tego, stosujemy specjalne płukanki antyseptyczne zalecone przez dentystę, które pomagają utrzymać czystość i zapobiegają infekcjom. Pozostałe zęby szczotkujemy normalnie, delikatnie.
- Leki: Regularne przyjmowanie przepisanych leków przeciwbólowych pomoże kontrolować dyskomfort. W niektórych przypadkach mogę również przepisać antybiotyki, aby zapobiec infekcjom.
- Nawyki: Całkowite zaprzestanie palenia papierosów i spożywania alkoholu na czas gojenia jest absolutnie niezbędne. Te używki znacząco pogarszają proces regeneracji tkanek.
- Unikanie: Proszę nie dotykać językiem ani palcami operowanego miejsca. Unikamy również intensywnego płukania ust, które mogłoby spowodować przemieszczenie przeszczepu.
Ile trwa gojenie i kiedy wreszcie zobaczysz ostateczny efekt w lustrze?
Początkowe gojenie, czyli okres, w którym ustępują dolegliwości bólowe i usuwane są szwy, trwa zazwyczaj 1-2 tygodnie. W tym czasie przeszczep zaczyna się integrować z otaczającymi tkankami. Jednak pełna integracja i stabilizacja przeszczepu zajmuje znacznie więcej czasu kilka tygodni. Na ostateczny efekt estetyczny i pełne wygojenie, które pozwolą Państwu zobaczyć w lustrze pełen rezultat, trzeba poczekać około 3-6 miesięcy. W tym okresie konieczne są regularne wizyty kontrolne u periodontologa, aby monitorować proces gojenia i upewnić się, że wszystko przebiega prawidłowo.
Ile kosztuje przeszczep dziąsła w Polsce? Finanse pod lupą
Koszty są zawsze istotnym elementem, który pacjenci biorą pod uwagę, decydując się na zabieg. Chcę przedstawić Państwu transparentny obraz finansowy związany z przeszczepem dziąsła w Polsce.
Od czego zależy ostateczna cena? Czynniki windujące i obniżające koszt
Cena przeszczepu dziąsła nie jest stała i zależy od kilku kluczowych czynników:
- Metoda zabiegu: Różne techniki (np. przeszczep tkanki łącznej, przeszczep nabłonkowo-łącznotkankowy, techniki tunelowe) mogą mieć różną wycenę ze względu na stopień skomplikowania i czasochłonność.
- Rozległość zabiegu: Cena będzie się różnić w zależności od liczby zębów objętych recesją. Pokrycie recesji przy jednym zębie będzie tańsze niż przy kilku.
- Rodzaj użytego materiału: Przeszczep własny (autogenny) zazwyczaj jest tańszy niż zastosowanie drogich biomateriałów (np. Acellular Dermal Matrix), które pozwalają uniknąć pobierania tkanki z podniebienia.
- Renoma i doświadczenie kliniki/lekarza: Specjaliści z dużym doświadczeniem, wysokimi kwalifikacjami i doskonałymi wynikami mogą mieć wyższe stawki, co jest uzasadnione ich wiedzą i umiejętnościami.
- Lokalizacja kliniki: Ceny mogą się różnić w zależności od miasta. Zazwyczaj w większych miastach (np. Warszawa, Kraków) koszty są wyższe niż w mniejszych miejscowościach.
Przegląd cen w polskich miastach na jaki wydatek musisz się przygotować?
Aby dać Państwu orientacyjne pojęcie o kosztach, przygotowałam poniższą tabelę:
| Zakres zabiegu | Orientacyjny koszt |
|---|---|
| Pokrycie recesji przy jednym zębie | 1500 zł 3500 zł |
| Pokrycie recesji przy kilku zębach | 4000 zł 8000 zł |
Należy pamiętać, że są to ceny orientacyjne i zawsze warto poprosić klinikę o szczegółowy kosztorys po konsultacji.
Czy można liczyć na refundację z NFZ? Prawda o finansowaniu zabiegu
Niestety, muszę jasno stwierdzić, że zabieg przeszczepu dziąsła w celu pokrycia recesji generalnie nie jest refundowany przez Narodowy Fundusz Zdrowia (NFZ). Jest on traktowany jako procedura z zakresu zaawansowanej periodontologii, często o charakterze estetycznym, i wykonywany jest głównie w prywatnych gabinetach. Oznacza to, że pacjent musi pokryć koszty zabiegu z własnej kieszeni. Warto jednak potraktować to jako inwestycję w długoterminowe zdrowie i estetykę swojego uśmiechu.
Alternatywy dla przeszczepu dziąsła: inne sposoby walki z recesją
Choć przeszczep dziąsła jest bardzo skuteczną metodą, nie zawsze jest jedynym lub pierwszym wyborem. W niektórych przypadkach istnieją alternatywne rozwiązania, które również mogą przynieść ulgę i poprawę. Zawsze staram się przedstawić pacjentom pełen wachlarz możliwości.
Leczenie zachowawcze kiedy zmiana nawyków i higiena mogą wystarczyć?
W początkowych stadiach recesji dziąseł, lub gdy recesja nie jest bardzo zaawansowana i nie towarzyszą jej silne objawy, możemy spróbować leczenia zachowawczego. Kluczowe jest tutaj wyeliminowanie przyczyny problemu. Obejmuje to przede wszystkim:
- Profesjonalną higienizację usunięcie kamienia nazębnego i osadów (skaling, piaskowanie), które mogą podrażniać dziąsła.
- Instruktaż prawidłowej higieny jamy ustnej nauka właściwej techniki szczotkowania (np. technika wymiatająca, a nie szorowanie), dobór odpowiedniej, miękkiej szczoteczki i pasty do zębów dla wrażliwych szyjek.
- Eliminacja czynników ryzyka np. leczenie bruksizmu (zgrzytania zębami), korekta nieprawidłowo wykonanych wypełnień.
W wielu przypadkach, sama zmiana nawyków i poprawa higieny może zatrzymać postęp recesji, a nawet doprowadzić do niewielkiej regeneracji tkanki dziąsłowej.
Inne techniki chirurgiczne i biomateriały co jeszcze oferuje nowoczesna periodontologia?
Poza klasycznym przeszczepem dziąsła, nowoczesna periodontologia oferuje inne rozwiązania, które mogą być rozważane w zależności od indywidualnego przypadku:
- Bonding: Jest to metoda polegająca na pokryciu odsłoniętych szyjek zębowych materiałem kompozytowym w kolorze zęba. Głównym celem jest zniesienie nadwrażliwości i poprawa estetyki. Należy jednak podkreślić, że bonding to rozwiązanie głównie objawowe, które nie leczy przyczyny recesji ani nie odbudowuje utraconej tkanki dziąsła.
- Zabiegi z użyciem materiałów allogenicznych: Jak już wspomniałam, zamiast tkanki pobranej z podniebienia pacjenta, można wykorzystać gotowe biomateriały (np. Acellular Dermal Matrix). Pozwala to uniknąć dyskomfortu związanego z raną na podniebieniu, choć może wiązać się z wyższym kosztem.
- Ortodoncja: W niektórych przypadkach, gdy recesja jest spowodowana wadami zgryzu lub nieprawidłowym ustawieniem zębów, leczenie ortodontyczne może pomóc w korekcji tych problemów, co pośrednio przyczynia się do poprawy stanu dziąseł.
Przeszczep dziąsła: jak podjąć świadomą decyzję?
Podjęcie decyzji o przeszczepie dziąsła to ważny krok. Chcę, aby byli Państwo w pełni świadomi wszystkich aspektów zabiegu, dlatego zachęcam do aktywnego udziału w procesie decyzyjnym i zadawania pytań. Tylko wtedy będą Państwo mogli podjąć najlepszą decyzję dla swojego zdrowia i uśmiechu.
Osobista checklista: Pytania, które musisz zadać swojemu dentyście przed zabiegiem
Przygotowałam listę pytań, które warto zadać swojemu periodontologowi podczas konsultacji. Pomoże to Państwu zebrać wszystkie niezbędne informacje:
- Czy przeszczep dziąsła jest najlepszym rozwiązaniem w moim przypadku, czy są alternatywy, które moglibyśmy rozważyć?
- Jaka metoda przeszczepu będzie zastosowana i dlaczego właśnie ta jest dla mnie najbardziej odpowiednia?
- Jakie są przewidywane efekty zabiegu i czy są one realistyczne w moim konkretnym przypadku?
- Jaki jest całkowity koszt zabiegu, wliczając w to wszystkie wizyty kontrolne i ewentualne materiały?
- Jak długo potrwa rekonwalescencja i jakie są dokładne zalecenia pozabiegowe, których muszę przestrzegać?
- Jakie są potencjalne ryzyka i powikłania związane z tym konkretnym zabiegiem?
- Jakie są szanse na trwałość efektów i co muszę robić, aby je utrzymać przez długi czas?
Przeczytaj również: Zapalenie dziąseł u dziecka: Ile dni trwa? Szybka ulga dla malucha