Liszaj płaski w jamie ustnej to przewlekła choroba autoimmunologiczna, która może znacząco wpływać na komfort życia, powodując ból, pieczenie i trudności w codziennym funkcjonowaniu. Zrozumienie dostępnych metod leczenia jest kluczowe dla skutecznego zarządzania jej objawami i odzyskania kontroli nad własnym zdrowiem. W tym artykule, bazując na mojej wiedzy i doświadczeniu, przedstawię kompleksowy przegląd profesjonalnych terapii oraz praktycznych domowych sposobów, które pomogą Ci złagodzić dolegliwości i poprawić jakość życia.
Skuteczne leczenie liszaja płaskiego w jamie ustnej kompleksowy przewodnik po terapiach i domowych metodach
- Liszaj płaski to przewlekła choroba autoimmunologiczna, której leczenie skupia się na łagodzeniu objawów i kontroli przebiegu.
- Pierwszą linią terapii są miejscowe glikokortykosteroidy w postaci maści, żeli lub płukanek.
- Kluczowe jest unikanie czynników drażniących w diecie (np. ostre, kwaśne potrawy) oraz stosowanie łagodnej higieny jamy ustnej.
- Diagnozę stawia specjalista (periodontolog, dermatolog), często z koniecznością wykonania biopsji w celu potwierdzenia i wykluczenia innych schorzeń.
- Należy regularnie monitorować zmiany ze względu na niskie ryzyko transformacji nowotworowej, szczególnie w postaciach nadżerkowych i zanikowych.
- Zarządzanie stresem i unikanie używek (tytoń, alkohol) to ważne elementy wspomagające leczenie.
Liszaj płaski w jamie ustnej: czym jest i dlaczego się pojawia?

Liszaj płaski (łac. lichen planus) w jamie ustnej to przewlekła choroba zapalna błon śluzowych, której podłożem jest mechanizm autoimmunologiczny. Oznacza to, że układ odpornościowy organizmu, zamiast chronić, błędnie atakuje własne komórki. Choroba ta dotyka około 1-2% populacji, częściej obserwowana jest u kobiet w wieku od 30 do 60 lat.
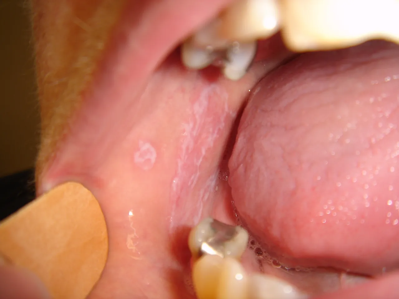
- Charakterystyka: Najczęściej spotykana jest postać siateczkowa, objawiająca się jako białe, koronkowe linie na błonie śluzowej, zwane siateczką Wickhama. Zazwyczaj pojawiają się one na wewnętrznej stronie policzków, ale mogą występować również na języku, dziąsłach czy podniebieniu.
- Inne formy: Oprócz postaci siateczkowej wyróżniamy także postać nadżerkową (charakteryzującą się bolesnymi owrzodzeniami), zanikową (czerwone, gładkie plamy) oraz pęcherzową.
- Towarzyszące dolegliwości: Niezależnie od postaci, pacjenci często odczuwają ból, pieczenie i suchość w ustach. Dyskomfort podczas jedzenia, zwłaszcza potraw ostrych i kwaśnych, jest powszechny. W niektórych przypadkach może pojawić się również krwawienie dziąseł, co dodatkowo utrudnia codzienne funkcjonowanie.
Dokładna przyczyna liszaja płaskiego wciąż pozostaje nieznana, jednak wiemy, że ma on podłoże autoimmunologiczne. Istnieją jednak czynniki, które mogą wyzwalać lub zaostrzać objawy choroby. Z mojego doświadczenia wynika, że często są to:
- Silny stres: U wielu pacjentów obserwuję zaostrzenie zmian w okresach wzmożonego napięcia psychicznego.
- Predyspozycje genetyczne: Skłonność do rozwoju liszaja płaskiego może być dziedziczona.
- Infekcje wirusowe: Szczególnie wirus zapalenia wątroby typu C jest wiązany z występowaniem liszaja płaskiego.
- Reakcje na niektóre leki: Niektóre leki, np. przeciwbólowe czy te stosowane w leczeniu nadciśnienia, mogą wywoływać liszajopodobne zmiany.
- Alergia na materiały stomatologiczne: W rzadkich przypadkach reakcje alergiczne na składniki wypełnień, takie jak rtęć w amalgamatach, mogą przyczyniać się do rozwoju zmian.
Warto podkreślić, że liszaj płaski w jamie ustnej nie jest chorobą zakaźną. Nie można się nim zarazić poprzez kontakt z drugą osobą, co często jest źródłem niepotrzebnych obaw.
Kiedy szukać pomocy i jak wygląda diagnoza liszaja płaskiego?
Jeśli zauważysz u siebie niepokojące zmiany w jamie ustnej, takie jak białe siateczki, czerwone plamy, owrzodzenia, czy odczuwasz przewlekłe pieczenie lub ból, niezwłocznie udaj się do specjalisty. Najczęściej diagnozą i leczeniem liszaja płaskiego zajmuje się periodontolog, dermatolog lub specjalista chorób błon śluzowych jamy ustnej.

Proces diagnostyczny rozpoczyna się od dokładnego badania klinicznego jamy ustnej. Lekarz oceni charakter zmian, ich lokalizację i rozległość. Jednak w celu postawienia ostatecznej diagnozy i, co niezwykle ważne, wykluczenia innych poważnych schorzeń, w tym zmian nowotworowych, często konieczne jest pobranie niewielkiego wycinka tkanki do badania histopatologicznego, czyli biopsja. To kluczowy krok, który pozwala na precyzyjne określenie charakteru zmian.
Liszaj płaski może być mylony z innymi chorobami jamy ustnej, takimi jak kandydoza, leukoplakia czy nawet wczesne stadia raka. Dlatego tak istotne jest, aby diagnozę postawił doświadczony specjalista, który przeprowadzi odpowiednie badania różnicujące.
Profesjonalne metody leczenia liszaja płaskiego, które przynoszą ulgę
Leczenie liszaja płaskiego w jamie ustnej ma na celu przede wszystkim złagodzenie objawów, zmniejszenie stanu zapalnego i poprawę komfortu pacjenta. Jako pierwszą linię obrony, w większości przypadków, stosuje się glikokortykosteroidy. Są one dostępne w postaci maści, żeli lub płukanek (np. triamcynolon, klobetazol) i aplikuje się je bezpośrednio na zmienione miejsca. Ich działanie polega na silnym zmniejszaniu stanu zapalnego i łagodzeniu bólu, co przynosi pacjentom znaczną ulgę.
W sytuacjach, gdy standardowe leczenie sterydami miejscowymi nie przynosi oczekiwanych rezultatów lub jest przeciwwskazane, alternatywą mogą być inhibitory kalcyneuryny. Leki takie jak takrolimus czy pimekrolimus również działają immunosupresyjnie, zmniejszając aktywność układu odpornościowego w miejscu aplikacji, co pomaga kontrolować objawy choroby.
W najcięższych i najbardziej opornych na leczenie przypadkach, gdy zmiany są rozległe i znacząco wpływają na jakość życia, konieczne może być zastosowanie terapii ogólnoustrojowych. Należą do nich doustne kortykosteroidy, retinoidy (np. acytretyna) lub leki immunosupresyjne (np. cyklosporyna, azatiopryna). Terapie te są jednak zarezerwowane dla pacjentów z ciężkim przebiegiem choroby ze względu na potencjalne skutki uboczne i wymagają ścisłego nadzoru lekarza.
Twoja codzienna strategia walki z liszajem: domowe sposoby i zmiany w nawykach
Poza leczeniem farmakologicznym, kluczową rolę w zarządzaniu liszajem płaskim odgrywają codzienne nawyki i zmiany w stylu życia. To, co jemy i jak dbamy o higienę jamy ustnej, ma ogromny wpływ na przebieg choroby i intensywność objawów.
-
Dieta:
- Unikaj: Potraw ostrych, kwaśnych (takich jak cytrusy, pomidory, ocet), słonych, twardych (np. chipsy, twarde pieczywo) oraz bardzo gorących. Wszystkie te produkty mogą mechanicznie lub chemicznie podrażniać wrażliwą błonę śluzową, nasilając ból i pieczenie.
- Wybieraj: Dietę łagodną, o miękkiej konsystencji. Zupy kremy, gotowane warzywa, delikatne mięsa, jogurty, banany to przykłady produktów, które nie będą dodatkowo drażnić zmienionych miejsc. Pamiętaj, aby posiłki były letnie, nie gorące.

Liszaj płaski a ryzyko raka: co warto wiedzieć?
Jednym z najpoważniejszych pytań, jakie zadają mi pacjenci z liszajem płaskim w jamie ustnej, jest to dotyczące ryzyka transformacji nowotworowej. Muszę jasno powiedzieć, że liszaj płaski, szczególnie w postaci nadżerkowej i zanikowej, jest uznawany za stan przedrakowy. Oznacza to, że istnieje niewielkie, ale realne ryzyko zezłośliwienia w raka płaskonabłonkowego. Szacuje się, że dotyczy to około 1-5% przypadków. Choć jest to niski odsetek, nie wolno go lekceważyć.
Właśnie z tego powodu tak kluczowe jest regularne monitorowanie zmian. Pacjenci z liszajem płaskim powinni odbywać wizyty kontrolne u specjalisty co 3 do 12 miesięcy, w zależności od postaci i aktywności choroby. Te regularne badania pozwalają na wczesne wykrycie wszelkich nieprawidłowości i podjęcie natychmiastowych działań, jeśli zajdzie taka potrzeba. Pamiętajmy, że wczesna diagnoza jest podstawą skutecznego leczenia każdego nowotworu.
Życie z liszajem płaskim: długoterminowe zarządzanie chorobą
Liszaj płaski w jamie ustnej to choroba przewlekła, co oznacza, że wymaga długoterminowego zarządzania. Kluczem do sukcesu jest ścisła współpraca z lekarzem. Razem powinniście stworzyć indywidualny plan działania, który będzie obejmował zarówno leczenie farmakologiczne, jak i modyfikacje stylu życia. Regularne wizyty kontrolne, otwarta komunikacja na temat objawów i dostosowywanie terapii do zmieniających się potrzeb są fundamentem skutecznego radzenia sobie z tą chorobą.
Radzenie sobie z przewlekłą chorobą może być wyzwaniem, dlatego ważne jest, aby szukać wsparcia i wiarygodnych informacji. Polecam korzystanie ze sprawdzonych portali medycznych, a także rozważenie dołączenia do grup wsparcia dla pacjentów z liszajem płaskim. Dzielenie się doświadczeniami z innymi osobami zmagającymi się z podobnymi problemami może przynieść ulgę, poczucie zrozumienia i cenne wskazówki dotyczące codziennego życia z chorobą.