Recesja dziąseł to stan, który może niepostrzeżenie podkopywać zdrowie Twoich zębów i estetykę uśmiechu. Jest to proces stopniowego obniżania się linii dziąseł, prowadzący do odsłonięcia delikatnych szyjek i korzeni zębów. Zrozumienie jej objawów, przyczyn oraz dostępnych metod leczenia jest kluczowe, aby móc skutecznie zareagować i zapobiec poważniejszym konsekwencjom.
Recesja dziąseł: jak rozpoznać objawy, zrozumieć przyczyny i skutecznie leczyć
- Recesja dziąseł to nieodwracalne obniżanie się linii dziąseł, prowadzące do odsłonięcia szyjek i korzeni zębów.
- Główne objawy to optycznie dłuższe zęby, nadwrażliwość na bodźce, krwawienie dziąseł i ich zaczerwienienie.
- Najczęstsze przyczyny obejmują agresywne szczotkowanie, złą higienę, cienki biotyp dziąsła, bruksizm oraz wady zgryzu.
- Nieleczona recesja zwiększa ryzyko próchnicy korzenia, paradontozy, rozchwiania zębów i pogarsza estetykę uśmiechu.
- Leczenie obejmuje profesjonalną higienizację, kiretaż, a w zaawansowanych przypadkach chirurgiczne pokrycie recesji, np. przeszczepem z podniebienia.
- Kluczem do zapobiegania jest prawidłowa higiena, delikatne szczotkowanie, regularne wizyty u dentysty i leczenie bruksizmu.

Rozpoznaj sygnały SOS: pierwsze objawy recesji dziąseł
Wczesne rozpoznanie objawów recesji dziąseł jest absolutnie kluczowe dla skutecznego leczenia i zapobiegania dalszym uszkodzeniom. Często pierwsze sygnały są subtelne i łatwe do zignorowania, dlatego warto być świadomym, na co zwracać uwagę, aby móc szybko zareagować.
Nadwrażliwość na zimno i ciepło: czy to już powód do niepokoju?
Jednym z najwcześniejszych i najbardziej dokuczliwych objawów recesji dziąseł jest nadwrażliwość zębów. Kiedy linia dziąseł obniża się, odsłonięte zostają szyjki zębowe, które nie są chronione przez twarde szkliwo, lecz przez znacznie delikatniejszą tkankę zębinę. Zębina zawiera tysiące mikroskopijnych kanalików, które prowadzą bezpośrednio do miazgi zęba, gdzie znajdują się zakończenia nerwowe. W efekcie, bodźce termiczne (zimno, ciepło), słodkie lub kwaśne pokarmy i napoje mogą wywoływać ostry, kłujący ból. To wyraźny sygnał, że coś jest nie tak i wymaga uwagi.
Zęby wydają się dłuższe: co wygląd dziąseł mówi o ich zdrowiu
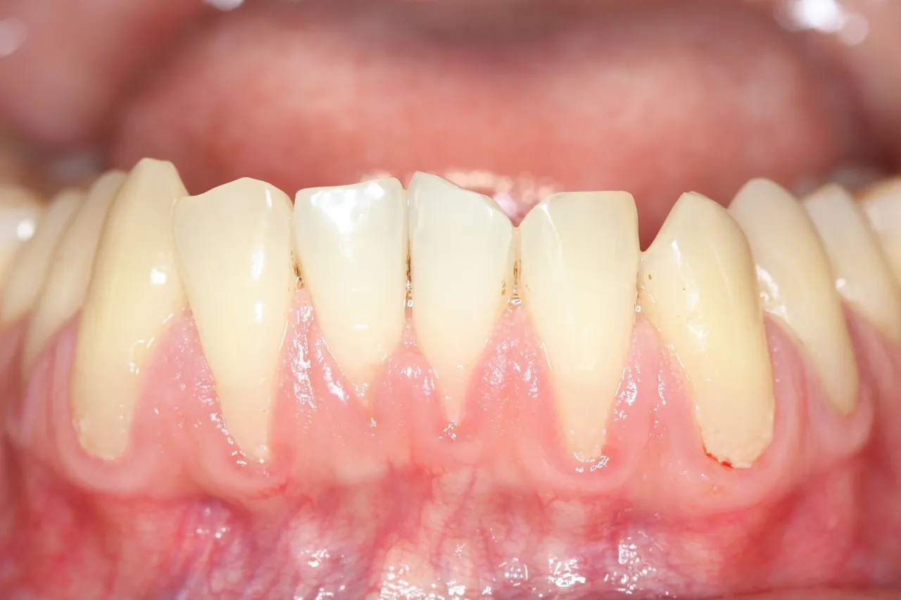
Wizualne zmiany są często tym, co ostatecznie skłania pacjentów do wizyty u stomatologa. W przypadku recesji dziąseł zęby zaczynają optycznie wydawać się dłuższe niż dotychczas. Dzieje się tak, ponieważ obniżająca się linia dziąseł odsłania część korzenia, która normalnie jest ukryta. Możesz również zauważyć widoczne odsłonięcie żółtawej powierzchni korzenia zęba, która różni się kolorem od białej korony. Ta zmiana estetyczna jest bezpośrednim i niepokojącym skutkiem obniżenia linii dziąseł.
Krwawienie podczas szczotkowania: kiedy zwykły objaw staje się alarmem?
Krwawienie dziąseł podczas szczotkowania lub nitkowania jest objawem, którego nigdy nie należy ignorować. Choć może ono wskazywać na inne problemy, takie jak zapalenie dziąseł, w połączeniu z innymi symptomami recesji staje się sygnałem alarmowym. Dziąsła, które krwawią, są często podrażnione i osłabione, co sprzyja dalszemu cofaniu się tkanki. Jeśli zauważasz regularne krwawienie, nawet przy delikatnej higienie, to znak, że Twoje dziąsła potrzebują profesjonalnej oceny.Subtelne zmiany, które łatwo przeoczyć: zmiana koloru i obrzęk dziąseł
Oprócz najbardziej oczywistych objawów, recesji dziąseł mogą towarzyszyć mniej widoczne zmiany. Zwróć uwagę na zaczerwienienie i obrzęk dziąseł, szczególnie w okolicy zębów. Choć te symptomy są bardziej typowe dla stanów zapalnych, mogą one współistnieć z recesją, pogarszając jej przebieg. Zdrowe dziąsła powinny być różowe, jędrne i ściśle przylegać do zębów. Jakiekolwiek odstępstwa od tej normy powinny wzbudzić Twoją czujność.Cofanie się dziąseł: czym jest i dlaczego nie można go ignorować
Recesja dziąseł to proces stopniowego obniżania się linii dziąseł, prowadzący do odsłonięcia szyjek i korzeni zębów. Jest to poważny problem, który wymaga uwagi, ponieważ nieleczony może prowadzić do szeregu komplikacji, od zwiększonej nadwrażliwości po utratę zębów.
Recesja dziąseł w prostych słowach: co dzieje się z Twoimi zębami?
Kiedy mówimy o recesji dziąseł, chodzi o to, że tkanka dziąsłowa, która normalnie chroni korzenie zębów, zaczyna się cofać. Odsłonięte korzenie zębów nie są chronione przez twarde szkliwo, tak jak korony. Zamiast tego pokrywa je zębina, która jest znacznie bardziej porowata i podatna na działanie kwasów oraz bakterii. To sprawia, że są one znacznie bardziej narażone na próchnicę korzenia i nadwrażliwość, a także na uszkodzenia mechaniczne.
Dlaczego raz utracone dziąsło samo nie odrośnie? Zrozumienie procesu
Niestety, jedną z kluczowych cech recesji dziąseł jest jej nieodwracalność. Utracona tkanka dziąsła nie regeneruje się samoistnie. Dziąsła, choć są tkanką miękką, nie mają zdolności do samodzielnej odbudowy w takim stopniu, by pokryć odsłonięte korzenie. Właśnie dlatego tak ważne jest wczesne wykrycie problemu i podjęcie odpowiednich działań stomatologicznych, aby zatrzymać postęp recesji i, jeśli to możliwe, chirurgicznie odbudować utraconą tkankę.
Jest to problem nieodwracalny w tym sensie, że utracona tkanka dziąsła nie odrasta samoistnie.
Problem, który narasta z wiekiem: statystyki i skala zjawiska w Polsce
Recesja dziąseł to problem, który dotyka znaczną część populacji i ma tendencję do nasilania się z wiekiem. Według danych statystycznych, recesja dziąseł dotyka nawet co drugiej osoby dorosłej do 64. roku życia. Im starsi jesteśmy, tym większe jest ryzyko wystąpienia tego schorzenia. To pokazuje, że nie jest to rzadki problem, lecz powszechne zjawisko, które wymaga świadomości i profilaktyki na każdym etapie życia.

Skąd bierze się recesja? Poznaj najczęstsze przyczyny
Zrozumienie przyczyn recesji dziąseł jest równie ważne jak rozpoznanie jej objawów. Często problem ten wynika z połączenia kilku czynników higienicznych, genetycznych i mechanicznych które wspólnie prowadzą do obniżania się linii dziąseł.
Paradoks higieny: jak zbyt agresywne mycie zębów niszczy Twoje dziąsła
Jedną z najczęstszych, a zarazem najbardziej paradoksalnych przyczyn recesji dziąseł jest... niewłaściwa higiena jamy ustnej. Mimo dobrych intencji, wiele osób szczotkuje zęby zbyt agresywnie, używając szczoteczek z twardym włosiem i wykonując ruchy "szorujące" w poziomie. Takie mechaniczne urazy, powtarzane każdego dnia, stopniowo uszkadzają delikatną tkankę dziąsłową, prowadząc do jej cofania się. Zamiast chronić, nieświadomie niszczymy nasze dziąsła.
Gdy higiena zawodzi: rola płytki bakteryjnej i kamienia nazębnego
Z drugiej strony, niewystarczająca higiena również jest poważnym czynnikiem ryzyka. Nagromadzenie płytki bakteryjnej i kamienia nazębnego prowadzi do rozwoju stanów zapalnych dziąseł, takich jak gingivitis (zapalenie dziąseł) czy paradontoza. Przewlekły stan zapalny powoduje obrzęk, zaczerwienienie i krwawienie dziąseł, a w dłuższej perspektywie ich recesję oraz zanik kości. Bakterie i toksyny, które produkują, niszczą tkanki wspierające ząb.
Genetyczne dziedzictwo: czy jesteś w grupie ryzyka z powodu "cienkiego biotypu"?
Niektórzy z nas są genetycznie bardziej predysponowani do recesji dziąseł. Mówimy wówczas o tzw. cienkim biotypie dziąsła, który występuje u około 25% populacji. Osoby z cienkimi, delikatnymi dziąsłami są bardziej podatne na urazy mechaniczne i stany zapalne, co sprawia, że ich dziąsła łatwiej się cofają. To czynnik, na który nie mamy wpływu, ale świadomość jego istnienia pozwala na wdrożenie wzmożonej profilaktyki.Bruksizm, czyli cichy nocny wróg Twoich dziąseł
Bruksizm, czyli nieświadome zgrzytanie i zaciskanie zębów, często występujące w nocy, to kolejny czynnik przyczyniający się do recesji. Nadmierne siły działające na zęby i przyzębie powodują przeciążenia, które mogą prowadzić do mikrourazów i stopniowego cofania się dziąseł. Bruksizm często jest związany ze stresem, a jego konsekwencje dla zdrowia jamy ustnej bywają bardzo poważne.
Wady zgryzu i aparat ortodontyczny: kiedy leczenie może szkodzić?
Nieprawidłowe ustawienie zębów (wady zgryzu) może prowadzić do nierównomiernego rozłożenia sił podczas żucia, co obciąża niektóre zęby i dziąsła bardziej niż inne, sprzyjając recesji. Co więcej, w niektórych przypadkach, nawet leczenie ortodontyczne, choć ma na celu poprawę zgryzu, może przyczynić się do recesji. Zbyt duże siły wywierane przez aparat ortodontyczny lub przesuwanie zębów poza granicę kości mogą uszkodzić tkanki dziąsła. Dlatego tak ważna jest ścisła współpraca z doświadczonym ortodontą i monitorowanie stanu dziąseł w trakcie leczenia.
Groźne konsekwencje: co się stanie, jeśli zignorujesz recesję dziąseł
Ignorowanie recesji dziąseł to prosta droga do poważnych i często nieodwracalnych konsekwencji dla zdrowia jamy ustnej. To nie tylko kwestia estetyki, ale przede wszystkim funkcjonalności i trwałości Twoich zębów.
Próchnica korzenia: bolesny skutek odsłoniętych szyjek zębowych
Jak już wspomniałam, odsłonięte korzenie zębów nie są chronione przez szkliwo, lecz przez zębinę, która jest znacznie bardziej miękka i porowata. To sprawia, że są one niezwykle podatne na próchnicę korzenia. Tego typu próchnica rozwija się szybko, często jest trudniejsza do wykrycia i leczenia niż próchnica szkliwa, a jej konsekwencje mogą być bardzo poważne, prowadząc nawet do utraty zęba.
Od recesji do paradontozy: droga do rozchwiania, a nawet utraty zębów
Nieleczona recesja dziąseł może postępować, prowadząc do dalszego zaniku kości wokół zębów. To z kolei sprzyja rozwojowi zaawansowanych chorób przyzębia, czyli paradontozy. W miarę postępu paradontozy, zęby tracą swoje stabilne oparcie w kości, stają się rozchwiane, a w skrajnych przypadkach może dojść do ich całkowitej utraty. To scenariusz, którego każdy stomatolog chce uniknąć.
Nie tylko zdrowie: jak recesja wpływa na estetykę Twojego uśmiechu
Poza konsekwencjami zdrowotnymi, recesja dziąseł ma również znaczący wpływ na estetykę uśmiechu. Odsłonięte, optycznie "dłuższe" zęby, często z widocznymi, ciemniejszymi korzeniami, mogą wyglądać nieatrakcyjnie. Nierówna linia dziąseł, luki między zębami (tzw. "czarne trójkąty") oraz zmiana koloru zębów w okolicy szyjek mogą sprawić, że będziesz czuć się niekomfortowo, uśmiechając się czy rozmawiając.

Jak zatrzymać recesję? Przegląd nowoczesnych metod leczenia
Na szczęście, istnieją skuteczne metody leczenia recesji dziąseł. Odpowiednio dobrane, zarówno zachowawcze, jak i chirurgiczne, mogą zatrzymać postęp choroby, poprawić estetykę uśmiechu i znacząco poprawić komfort życia pacjenta. Kluczem jest indywidualne podejście i wczesna diagnostyka.
Pierwszy krok: leczenie zachowawcze, czyli co dentysta może zrobić bez skalpela
We wczesnych etapach recesji, gdy problem nie jest jeszcze bardzo zaawansowany, często wystarczające jest leczenie zachowawcze. Obejmuje ono przede wszystkim profesjonalną higienizację, czyli skaling (usunięcie kamienia nazębnego) i piaskowanie (usunięcie osadów). Niezwykle ważny jest również instruktaż prawidłowej higieny jamy ustnej, aby wyeliminować szkodliwe nawyki, takie jak zbyt agresywne szczotkowanie. W niektórych przypadkach, gdy recesja jest niewielka i towarzyszą jej ubytki przyszyjkowe, można je pokryć materiałem kompozytowym (tzw. bonding), co zmniejsza nadwrażliwość i poprawia estetykę.
Kiretaż i skaling głęboki: głębokie oczyszczanie jako fundament terapii
Jeśli recesja jest związana ze stanem zapalnym i obecnością kamienia poddziąsłowego, konieczne jest przeprowadzenie bardziej zaawansowanych procedur higienizacyjnych. Skaling głęboki oraz kiretaż to zabiegi polegające na dokładnym usunięciu płytki bakteryjnej i kamienia nazębnego z powierzchni korzeni zębów, znajdujących się pod dziąsłami. Kiretaż dodatkowo wygładza powierzchnię korzenia, co utrudnia ponowne przyleganie bakterii i sprzyja gojeniu dziąseł. To fundament w leczeniu stanów zapalnych przyczyniających się do recesji.
Gdy trzeba działać radykalnie: na czym polega chirurgiczne pokrycie recesji?
W zaawansowanych przypadkach, gdy odsłonięcie korzeni jest znaczne, a leczenie zachowawcze nie wystarcza, konieczne staje się leczenie chirurgiczne. Mikrochirurgiczna plastyka dziąseł ma na celu pokrycie odsłoniętych powierzchni korzeni, przywrócenie prawidłowej linii dziąseł i zwiększenie grubości tkanki dziąsłowej. Istnieje kilka technik, ale ogólna idea polega na przeniesieniu tkanki dziąsłowej z innego miejsca w jamie ustnej lub zastosowaniu biomateriałów, aby odbudować utracone dziąsło.
Przeszczep z podniebienia: "złoty standard" w odbudowie dziąseł
Jedną z najskuteczniejszych i najczęściej stosowanych technik chirurgicznego pokrywania recesji jest przeszczep tkanki łącznej pobranej z podniebienia pacjenta. Ta metoda jest uznawana za "złoty standard" ze względu na wysoką przewidywalność wyników i trwałość. Podczas zabiegu, niewielki fragment tkanki łącznej pobierany jest z podniebienia i przeszczepiany w miejsce recesji, gdzie zostaje precyzyjnie przyszyty. Po zagojeniu, przeszczepiona tkanka integruje się z istniejącymi dziąsłami, tworząc nową, stabilną i estetyczną linię dziąseł.
Nowoczesne alternatywy: biomateriały i techniki tunelowe w praktyce
Oprócz przeszczepów z podniebienia, współczesna stomatologia oferuje inne nowoczesne techniki. Należą do nich m.in. przesunięcie płata dziąsła (gdzie tkanka jest przesuwana z sąsiednich obszarów) lub zastosowanie biomateriałów, takich jak błony kolagenowe, które pełnią funkcję rusztowania dla regenerującej się tkanki. Coraz popularniejsze stają się również techniki tunelowe, które są mniej inwazyjne i pozwalają na pokrycie recesji bez konieczności nacinania dziąsła w miejscu recesji, co często przekłada się na szybsze gojenie i lepszy komfort pooperacyjny.
Lepiej zapobiegać: codzienna strategia ochrony dziąseł
Jak to często bywa w medycynie, najlepszym sposobem na walkę z recesją dziąseł jest skuteczna profilaktyka. Codzienne dbanie o higienę jamy ustnej i regularne wizyty u stomatologa to fundament, który pozwoli Ci cieszyć się zdrowymi dziąsłami przez długie lata.
Dobór idealnej szczoteczki: dlaczego miękkie (lub soniczne) włosie to podstawa?
Podstawą profilaktyki jest prawidłowy dobór szczoteczki do zębów. Zdecydowanie odradzam używanie szczoteczek z twardym włosiem, które są głównym winowajcą mechanicznych urazów dziąseł. Zamiast tego, wybieraj szczoteczki z miękkim lub bardzo miękkim włosiem. Doskonałym wyborem są również szczoteczki soniczne, które dzięki drganiom o wysokiej częstotliwości skutecznie usuwają płytkę bakteryjną, jednocześnie będąc delikatnymi dla dziąseł. Pamiętaj, że celem jest usunięcie płytki, a nie zdzieranie dziąseł.
Prawidłowa technika szczotkowania, która chroni, a nie uszkadza
Nawet najlepsza szczoteczka nie zda się na nic, jeśli technika szczotkowania jest niewłaściwa. Zapomnij o "szorowaniu" zębów w poziomie. Zamiast tego, stosuj delikatne, wymiatające ruchy od dziąsła do korony zęba. Trzymaj szczoteczkę pod kątem 45 stopni do powierzchni zęba i dziąsła. Poświęć na szczotkowanie co najmniej dwie minuty, dwa razy dziennie. Nie zapominaj również o nitkowaniu przestrzeni międzyzębowych, które są siedliskiem bakterii i płytki.
Znaczenie regularnych wizyt u higienistki stomatologicznej
Niezależnie od tego, jak dokładnie szczotkujesz zęby w domu, profesjonalna higienizacja jest niezbędna. Regularne wizyty kontrolne u stomatologa oraz profesjonalne czyszczenie zębów (skaling i piaskowanie) u higienistki stomatologicznej co najmniej raz na sześć miesięcy to klucz do utrzymania zdrowych dziąseł. Specjalista usunie kamień nazębny, którego nie jesteś w stanie usunąć samodzielnie, i oceni stan Twoich dziąseł, wychwytując ewentualne problemy na wczesnym etapie.
Przeczytaj również: Spuchnięte dziąsło: Ulga w domu i kiedy do dentysty? Poradnik
Dieta i nawyki, które wspierają zdrowie Twoich dziąseł
Twoja dieta i styl życia również mają wpływ na zdrowie dziąseł. Zbilansowana dieta, bogata w witaminy i minerały, wspiera ogólną odporność organizmu, w tym zdrowie tkanek jamy ustnej. Ograniczenie palenia tytoniu jest niezwykle ważne, ponieważ palenie upośledza krążenie w dziąsłach, co sprzyja ich recesji i utrudnia gojenie. Jeśli cierpisz na bruksizm, rozważ stosowanie szyn relaksacyjnych, które chronią zęby i dziąsła przed nadmiernymi siłami. Pamiętaj, że zdrowie jamy ustnej to odzwierciedlenie zdrowia całego organizmu.