Czy wiesz, że Twoje usta są domem dla miliardów bakterii? Zrozumienie objawów, które mogą świadczyć o zaburzeniach tej delikatnej równowagi, jest kluczowe dla zachowania zdrowia. Ten artykuł pomoże Ci rozpoznać sygnały ostrzegawcze, zapobiec poważnym problemom i dowiedzieć się, kiedy należy udać się do specjalisty.
Objawy bakterii w jamie ustnej to sygnały, które mogą świadczyć o poważnych problemach zdrowotnych.
- Nieświeży oddech, nalot na języku czy suchość ust to pierwsze sygnały ostrzegawcze dysbiozy.
- Nadmiar szkodliwych bakterii prowadzi do próchnicy, zapalenia dziąseł i paradontozy.
- Zaburzona flora bakteryjna jamy ustnej może zwiększać ryzyko chorób serca, cukrzycy i Alzheimera.
- Główne przyczyny problemów to zła higiena, nieodpowiednia dieta, palenie tytoniu i niektóre leki.
- Wczesna diagnostyka i profesjonalne leczenie stomatologiczne są kluczowe dla odzyskania zdrowia.
- Skuteczna profilaktyka opiera się na codziennej higienie i zdrowych nawykach żywieniowych.

Jama ustna to niezwykle złożony ekosystem, w którym żyje ponad 700 gatunków mikroorganizmów, w tym bakterii, grzybów i wirusów. Tworzą one tak zwany mikrobiom jamy ustnej, który odgrywa kluczową rolę w procesach trawienia, ochronie przed patogenami oraz utrzymaniu ogólnego zdrowia. Kiedy równowaga między tymi mikroorganizmami zostaje zachwiana, zaczynają pojawiać się problemy.
Mikrobiom jamy ustnej to dynamiczna społeczność mikroorganizmów, która w zdrowych warunkach działa na naszą korzyść. Bakterie te pomagają w rozkładaniu resztek pokarmowych, neutralizują szkodliwe substancje, a nawet wspierają nasz układ odpornościowy. Jednak gdy "złe" bakterie zaczynają dominować nad "dobrymi", mówimy o dysbiozie, która jest początkiem wielu chorób, nie tylko tych dotyczących jamy ustnej.
Wśród korzystnych bakterii znajdziemy te, które pomagają w utrzymaniu zdrowego pH i chronią przed patogenami, natomiast szkodliwe to przede wszystkim te odpowiedzialne za próchnicę, jak na przykład Streptococcus mutans, która metabolizuje cukry do kwasów. Inne, takie jak Porphyromonas gingivalis, są silnie związane z chorobami przyzębia. Zrozumienie tej różnicy jest fundamentalne, aby skutecznie dbać o higienę i zdrowie.
Pierwsze sygnały ostrzegawcze: subtelne objawy zaburzeń flory bakteryjnej
Często ignorujemy subtelne sygnały, które wysyła nam nasze ciało, a które mogą świadczyć o początkowych problemach z florą bakteryjną jamy ustnej. Warto nauczyć się je rozpoznawać, aby móc zareagować, zanim rozwiną się poważniejsze dolegliwości.
Nieświeży oddech (halitoza)
Uporczywy, nieprzyjemny zapach z ust, czyli halitoza, to jeden z najczęstszych i najbardziej krępujących objawów nadmiaru szkodliwych bakterii. W przeciwieństwie do krótkotrwałego problemu po spożyciu czosnku, halitoza jest stała i wynika z produkcji lotnych związków siarki przez bakterie beztlenowe, które rozkładają resztki pokarmowe w jamie ustnej. To sygnał, że coś jest nie tak z Twoim mikrobiomem.Nalot na języku
Biały lub żółtawy nalot na języku to kolejny wskaźnik zaburzeń flory bakteryjnej. Jest to nic innego jak nagromadzenie bakterii, resztek pokarmowych i złuszczonych komórek nabłonka. Taki nalot sprzyja namnażaniu się szkodliwych mikroorganizmów i często towarzyszy halitozie. Regularne czyszczenie języka jest więc tak samo ważne, jak szczotkowanie zębów.
Zmiana smaku w ustach
Czy zdarzyło Ci się odczuwać metaliczny, gorzki lub kwaśny posmak w ustach, który nie znika po jedzeniu? Może to być związane z aktywnością bakterii i produktami ich metabolizmu. Niektóre bakterie produkują substancje, które zmieniają percepcję smaku, co może być nie tylko irytujące, ale i wskazywać na dysbiozę.
Suchość i pieczenie w ustach
Suchość w ustach, znana jako kserostomia, to problem, który często bagatelizujemy. Zmniejszona produkcja śliny, która jest naturalnym obrońcą jamy ustnej, sprzyja namnażaniu się szkodliwych bakterii. Ślina nie tylko nawilża, ale także neutralizuje kwasy, wypłukuje resztki pokarmowe i zawiera enzymy antybakteryjne. Suchość może być spowodowana różnymi czynnikami, w tym przyjmowaniem niektórych leków (np. antybiotyków, leków przeciwdepresyjnych), ale zawsze zwiększa ryzyko infekcji bakteryjnych i uczucia pieczenia.

Poważniejsze konsekwencje: choroby wywołane przez szkodliwe bakterie
Jeśli wczesne objawy zostaną zignorowane, zaburzenia flory bakteryjnej mogą prowadzić do rozwoju poważnych chorób jamy ustnej, które nie tylko niszczą zęby i dziąsła, ale mogą mieć również wpływ na cały organizm.
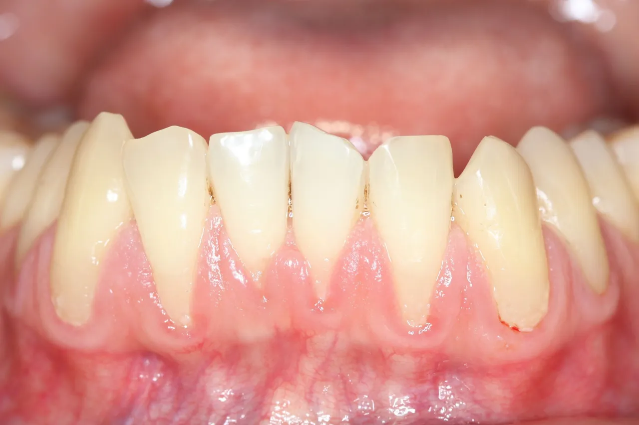
Zapalenie dziąseł
Zapalenie dziąseł to wczesny etap choroby przyzębia, wywołany głównie przez toksyny bakteryjne gromadzące się w płytce nazębnej. Objawia się ono obrzękiem, zaczerwienieniem i krwawieniem dziąseł, szczególnie podczas szczotkowania lub nitkowania. Na tym etapie choroba jest jeszcze odwracalna, ale wymaga natychmiastowej interwencji.
Próchnica zębów
Próchnica to plaga współczesnego społeczeństwa, a jej głównym sprawcą są bakterie, zwłaszcza Streptococcus mutans. Te mikroorganizmy metabolizują cukry, które spożywamy, przekształcając je w kwasy. Kwasy te stopniowo niszczą szkliwo zębów, prowadząc do powstawania ubytków. Nieleczona próchnica może prowadzić do silnego bólu, infekcji i w konsekwencji do utraty zęba.
Paradontoza (choroby przyzębia)
Paradontoza to zaawansowany stan choroby przyzębia, który rozwija się, gdy zapalenie dziąseł nie jest leczone. Bakterie takie jak Porphyromonas gingivalis czy Tannerella forsythensis atakują tkanki utrzymujące ząb dziąsła, kość i więzadła ozębnej. Prowadzi to do powstawania kieszonek dziąsłowych, recesji dziąseł, a w konsekwencji do ruchomości zębów i ich utraty. To choroba, która może mieć dramatyczne skutki dla funkcji żucia i estetyki.
Afty i nadżerki
Afty i nadżerki to bolesne owrzodzenia błony śluzowej jamy ustnej. Choć ich przyczyny są złożone i mogą obejmować stres, niedobory witamin czy urazy mechaniczne, to nadkażenia bakteryjne często komplikują ich gojenie i nasilają ból. Bakterie mogą przedłużać stan zapalny i utrudniać regenerację tkanek.Czynniki sprzyjające rozwojowi szkodliwych bakterii
Zrozumienie, co sprzyja namnażaniu się szkodliwych bakterii w jamie ustnej, jest kluczowe dla skutecznej profilaktyki. Wiele z tych czynników to nasze codzienne nawyki, które możemy świadomie zmienić.
Niewłaściwa higiena i nawyki żywieniowe
Niestety, często sami przyczyniamy się do problemów z florą bakteryjną. Niewłaściwa higiena jamy ustnej, czyli nieregularne lub nieefektywne szczotkowanie i nitkowanie, pozwala bakteriom na swobodny rozwój. Dieta bogata w cukry proste i przetworzoną żywność to prawdziwa uczta dla bakterii próchnicotwórczych. Palenie papierosów i nadużywanie alkoholu również znacząco osłabiają naturalne mechanizmy obronne jamy ustnej, prowadząc do dysbiozy i zwiększając ryzyko chorób przyzębia.Inne czynniki ryzyka
- Obniżona odporność, stres, zmiany hormonalne: Osłabiony układ odpornościowy jest mniej skuteczny w walce z patogenami. Stres i wahania hormonalne (np. w ciąży) mogą wpływać na stan dziąseł i sprzyjać rozwojowi bakterii.
- Choroby ogólnoustrojowe: Cukrzyca, choroby autoimmunologiczne czy niektóre schorzenia układu pokarmowego mogą mieć bezpośredni wpływ na skład mikrobiomu jamy ustnej i zwiększać podatność na infekcje.
- Przyjmowanie niektórych leków: Antybiotyki mogą zaburzać równowagę bakteryjną w całym organizmie, w tym w jamie ustnej. Leki przeciwdepresyjne, moczopędne czy przeciwhistaminowe często powodują suchość w ustach (kserostomię), co, jak już wspomniałam, jest czynnikiem ryzyka dla namnażania się szkodliwych bakterii.

Związek między florą bakteryjną jamy ustnej a zdrowiem ogólnym
Coraz więcej badań potwierdza, że zdrowie jamy ustnej nie jest odizolowane od reszty organizmu. Zaburzona flora bakteryjna może mieć daleko idące konsekwencje dla zdrowia ogólnoustrojowego, ponieważ bakterie z jamy ustnej mogą przedostawać się do krwiobiegu i wpływać na inne narządy.
Choroby sercowo-naczyniowe
Jednym z najbardziej niepokojących powiązań jest związek między chorobami przyzębia a zwiększonym ryzykiem chorób sercowo-naczyniowych. Bakterie, takie jak Porphyromonas gingivalis, mogą przedostawać się do krwiobiegu, wywoływać stan zapalny w naczyniach krwionośnych i przyczyniać się do rozwoju miażdżycy. W konsekwencji zwiększa się ryzyko zawału serca i udaru mózgu. To poważne ostrzeżenie, by nie lekceważyć problemów z dziąsłami.
Cukrzyca i choroba Alzheimera
U osób z cukrzycą problemy z dziąsłami mogą utrudniać kontrolę poziomu cukru we krwi, tworząc błędne koło cukrzyca sprzyja chorobom przyzębia, a choroby przyzębia utrudniają leczenie cukrzycy. Co więcej, pojawiają się badania łączące bakterie z chorób przyzębia, w tym Porphyromonas gingivalis, z chorobą Alzheimera. Odkryto je w mózgach pacjentów cierpiących na tę neurodegeneracyjną chorobę, co sugeruje potencjalny związek i otwiera nowe perspektywy badawcze.
Kiedy udać się do specjalisty i jak wygląda leczenie?
W obliczu tak wielu potencjalnych problemów, kluczowe jest wiedzieć, kiedy należy szukać profesjonalnej pomocy. Wczesna diagnostyka i odpowiednie leczenie to podstawa, aby zapobiec poważnym konsekwencjom.
Objawy wymagające natychmiastowej wizyty u dentysty
Niektóre objawy powinny skłonić Cię do natychmiastowej wizyty u dentysty, ponieważ mogą świadczyć o zaawansowanym problemie:
- Uporczywy, silny ból zęba lub dziąseł, który nie ustępuje.
- Częste i obfite krwawienie dziąseł, nawet przy delikatnym dotyku.
- Widoczna ruchomość zębów, zmiana ich pozycji.
- Niegojące się owrzodzenia, afty lub nadżerki w jamie ustnej.
- Obrzęk, zaczerwienienie lub ropień w okolicy zęba lub dziąsła.
- Trwały, bardzo nieprzyjemny zapach z ust, pomimo regularnej higieny.
Diagnostyka
Podczas wizyty stomatolog przeprowadzi dokładne badanie stomatologiczne, oceni stan dziąseł, zębów i błony śluzowej. W razie potrzeby może zlecić wykonanie zdjęć rentgenowskich. W bardziej skomplikowanych przypadkach, zwłaszcza przy podejrzeniu konkretnych infekcji bakteryjnych, lekarz może zalecić wykonanie posiewu mikrobiologicznego, aby zidentyfikować konkretne patogeny i dobrać celowane leczenie.
Profesjonalne metody leczenia
Leczenie zaburzeń flory bakteryjnej i ich konsekwencji jest zawsze dostosowane do indywidualnych potrzeb pacjenta:
- Profesjonalne czyszczenie zębów: Skaling (usuwanie kamienia nazębnego) i piaskowanie (usuwanie osadów) to podstawowe zabiegi, które eliminują główne siedliska bakterii.
- Leczenie ubytków: Wypełnianie próchniczych ubytków zapobiega dalszemu rozwojowi infekcji i niszczeniu zębów.
- Leczenie chorób dziąseł i przyzębia: Może obejmować kiretaż (głębokie czyszczenie kieszonek dziąsłowych), a w zaawansowanych przypadkach zabiegi chirurgiczne.
- Antybiotykoterapia: W przypadku poważnych infekcji bakteryjnych, zwłaszcza przy chorobach przyzębia, stomatolog może przepisać antybiotyki, zarówno miejscowe, jak i ogólne.
- Stosowanie płukanek antyseptycznych: Płukanki z chlorheksydyną czy innymi składnikami antybakteryjnymi wspomagają leczenie, redukując liczbę szkodliwych bakterii w jamie ustnej.
Profilaktyka: jak dbać o zdrowy mikrobiom jamy ustnej?
Najlepszą obroną przed problemami bakteryjnymi w jamie ustnej jest odpowiednia profilaktyka. Regularna i świadoma higiena, połączona ze zdrowymi nawykami żywieniowymi, to klucz do utrzymania równowagi mikrobiologicznej i ogólnego zdrowia.
Codzienna higiena jamy ustnej
Podstawą jest konsekwentna i prawidłowa higiena:
- Prawidłowa technika szczotkowania zębów: Szczotkuj zęby co najmniej dwa razy dziennie, przez dwie minuty, używając miękkiej szczoteczki i pasty z fluorem. Pamiętaj o ruchach wymiatających, a nie szorujących.
- Regularne nitkowanie zębów: Nitkowanie raz dziennie usuwa resztki pokarmowe i płytkę nazębną z przestrzeni międzyzębowych, gdzie szczoteczka nie dociera.
- Używanie płynów do płukania ust: Płyny antybakteryjne mogą być dobrym uzupełnieniem higieny, zwłaszcza jeśli masz skłonność do problemów z dziąsłami.
- Czyszczenie języka: Używaj specjalnej skrobaczki lub tylnej części szczoteczki do zębów, aby usunąć nalot z języka, który jest siedliskiem bakterii.
Dieta wspierająca zdrowie jamy ustnej
To, co jemy, ma ogromny wpływ na nasz mikrobiom. Wybieraj mądrze:
| Co jeść | Czego unikać |
|---|---|
| Świeże warzywa i owoce (zwłaszcza twarde, np. jabłka, marchew) | Cukry proste (słodycze, napoje gazowane) |
| Produkty pełnoziarniste | Żywność przetworzona (fast food, słone przekąski) |
| Nabiał (źródło wapnia) | Kwaśne napoje i potrawy (mogą erodować szkliwo) |
| Woda (nawilża i wypłukuje resztki) | Alkohol i nadmierne spożycie kawy (mogą wysuszać usta) |
Przeczytaj również: Szczoteczka soniczna: jak wybrać idealną? Przewodnik eksperta
Rola probiotyków doustnych
W ostatnich latach coraz więcej mówi się o probiotykach doustnych jako sposobie na odbudowę i utrzymanie zdrowej flory bakteryjnej w jamie ustnej. Specjalnie wyselekcjonowane szczepy bakterii, takie jak Lactobacillus reuteri czy Streptococcus salivarius, mogą pomagać w kolonizacji jamy ustnej "dobrymi" bakteriami, wypierając te szkodliwe. To obiecująca metoda wspierania zdrowia mikrobiomu, szczególnie po antybiotykoterapii lub w przypadku nawracających problemów.