Profesjonalna higienizacja zębów to znacznie więcej niż tylko estetyka to klucz do utrzymania zdrowia całej jamy ustnej i fundament pięknego uśmiechu. W moim gabinecie często widzę, jak wiele osób nie zdaje sobie sprawy, że codzienne szczotkowanie, choć niezwykle ważne, nie wystarcza do pełnego usunięcia wszystkich złogów nazębnych. Zapraszam do zgłębienia tematu, aby dowiedzieć się, dlaczego ten kompleksowy zabieg jest tak istotny i jak może odmienić Twoje zdrowie jamy ustnej.
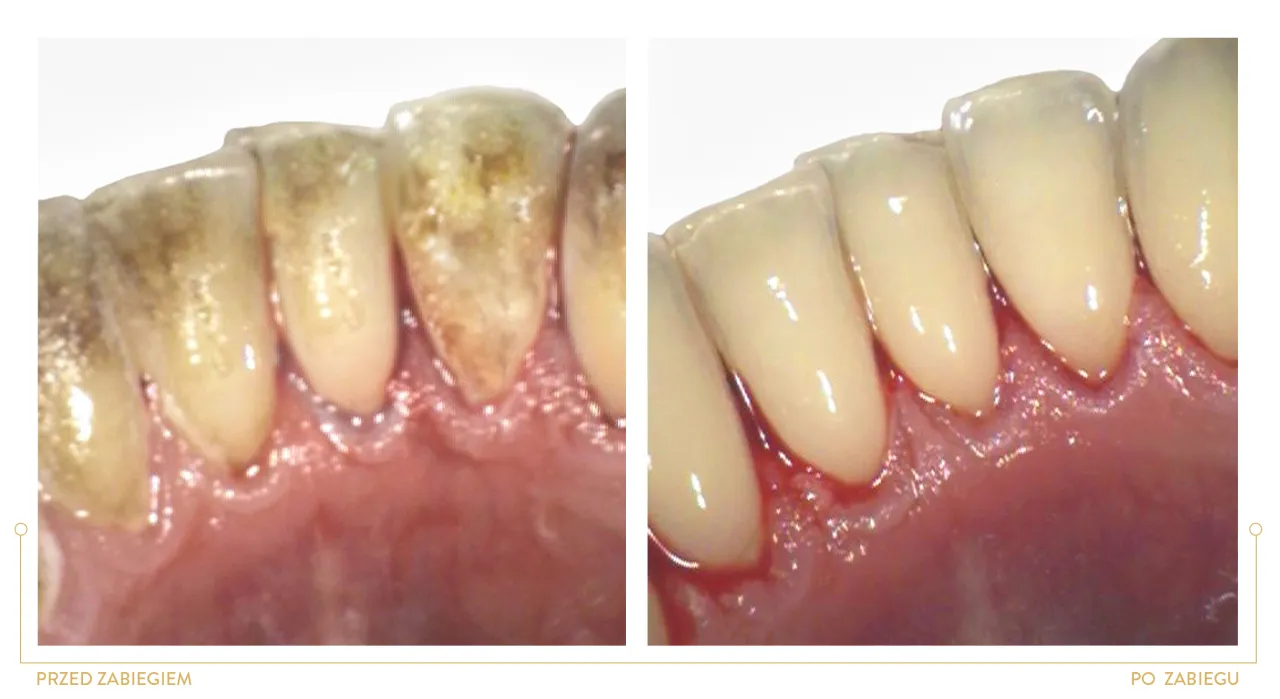
- Higienizacja to profesjonalny zabieg stomatologiczny mający na celu usunięcie kamienia i osadów nazębnych, które są niemożliwe do usunięcia codziennym szczotkowaniem.
- Pełny zabieg składa się z czterech etapów: skalingu (usuwanie kamienia ultradźwiękami), piaskowania (usuwanie osadów i przebarwień), polerowania (wygładzanie powierzchni zębów) oraz fluoryzacji (wzmocnienie szkliwa).
- Regularne wykonywanie higienizacji (zazwyczaj co 6-12 miesięcy) zapobiega próchnicy, chorobom dziąseł i przyzębia, a także eliminuje nieświeży oddech i poprawia estetykę uśmiechu.
- W Polsce skaling jest refundowany przez NFZ raz w roku, natomiast pozostałe etapy są zazwyczaj płatne prywatnie (koszt pełnego pakietu to 300-500 zł).
- Po zabiegu może wystąpić przejściowa nadwrażliwość zębów, która ustępuje po kilku dniach.
Profesjonalna higienizacja zębów: dlaczego codzienne szczotkowanie to za mało?
Higienizacja zębów, często określana jako pełny pakiet higienizacyjny, to profesjonalny zabieg profilaktyczno-leczniczy, który stanowi fundament zdrowego uśmiechu. Moim zadaniem jako stomatologa jest nie tylko leczenie, ale przede wszystkim zapobieganie chorobom. Głównym celem higienizacji jest kompleksowe usunięcie wszelkich złogów nazębnych zarówno twardego kamienia, jak i miękkich osadów których nie jesteśmy w stanie skutecznie pozbyć się podczas codziennego szczotkowania. To właśnie te złogi są głównymi winowajcami odpowiedzialnymi za rozwój próchnicy, stanów zapalnych dziąseł oraz poważniejszych chorób przyzębia, takich jak paradontoza.
Kamień, osad, płytka bakteryjna: poznaj cichych wrogów Twoich zębów
W jamie ustnej każdego z nas nieustannie gromadzi się płytka bakteryjna lepki biofilm, który przylega do powierzchni zębów. Jeśli nie jest regularnie usuwana, z czasem ulega mineralizacji, przekształcając się w twardy kamień nazębny. To właśnie kamień jest główną przyczyną stanów zapalnych dziąseł, które objawiają się krwawieniem, zaczerwienieniem i obrzękiem.
Poza kamieniem, na zębach osadzają się również miękkie osady, będące efektem spożywania barwiących pokarmów i napojów, takich jak kawa, herbata czy czerwone wino, a także palenia tytoniu. Te złogi nie tylko szpecą uśmiech, ale przede wszystkim stanowią idealne środowisko dla rozwoju szkodliwych bakterii. Niestety, nawet najbardziej sumienne szczotkowanie i nitkowanie zębów nie jest w stanie całkowicie usunąć tych uporczywych złogów, zwłaszcza z trudno dostępnych miejsc, takich jak przestrzenie międzyzębowe czy okolice poddziąsłowe.

Jak wygląda pełny zabieg profesjonalnej higienizacji krok po kroku?
Skaling: usuwanie kamienia ultradźwiękami
Pierwszym i często najważniejszym etapem higienizacji jest skaling. Polega on na precyzyjnym usuwaniu twardych złogów nazębnych, czyli kamienia, za pomocą specjalistycznych urządzeń ultradźwiękowych skalerów. Końcówka skalera wibruje z wysoką częstotliwością, rozbijając kamień na drobne fragmenty, które są następnie wypłukiwane wodą. Jak już wspomniałam, kamień nazębny to nic innego jak zmineralizowana płytka bakteryjna, a jego obecność jest główną przyczyną stanów zapalnych dziąseł i początkiem poważniejszych problemów z przyzębiem.
Piaskowanie: sposób na przebarwienia po kawie i herbacie
Po usunięciu kamienia przechodzimy do piaskowania. Ten etap ma za zadanie pozbyć się miękkich osadów, wszelkich przebarwień powstałych na skutek diety (kawa, herbata, czerwone wino) czy palenia papierosów, a także resztek kamienia z trudno dostępnych miejsc. Zabieg wykonuje się za pomocą piaskarki stomatologicznej, która pod ciśnieniem wyrzuca strumień wody z drobnym piaskiem stomatologicznym. Efekt? Zęby odzyskują swój naturalny, jaśniejszy kolor, stają się gładkie i lśniące.
Polerowanie: aksamitna gładkość, która chroni Twoje zęby
Kolejnym krokiem jest polishing, czyli polerowanie powierzchni zębów. Wykonuje się je za pomocą specjalnych past polerskich i gumek lub szczoteczek. Celem jest maksymalne wygładzenie szkliwa po skalingu i piaskowaniu. Dlaczego to takie ważne? Gładka powierzchnia zębów znacznie utrudnia ponowne osadzanie się płytki bakteryjnej i kamienia, co przekłada się na dłuższe utrzymanie efektów zabiegu i lepszą ochronę przed próchnicą.
Fluoryzacja: tarcza ochronna dla Twojego szkliwa
Na zakończenie zabiegu higienizacji przeprowadzam fluoryzację, zwaną również lakierowaniem zębów. Polega ona na nałożeniu na powierzchnię zębów preparatu o wysokim stężeniu fluoru, najczęściej w formie pianki lub lakieru. Fluor ma za zadanie wzmocnić szkliwo, zwiększając jego odporność na działanie kwasów produkowanych przez bakterie oraz na rozwój próchnicy. Dodatkowo, fluoryzacja pomaga znieść ewentualną nadwrażliwość zębów, która może pojawić się po zabiegach skalingu i piaskowania.
Kluczowe korzyści zdrowotne regularnej higienizacji: nie tylko estetyka
Koniec z próchnicą i stanami zapalnymi dziąseł
Regularne usuwanie kamienia i osadów nazębnych podczas higienizacji to najskuteczniejsza profilaktyka próchnicy. Bakterie odpowiedzialne za próchnicę bytują w płytce nazębnej i kamieniu, produkując kwasy, które niszczą szkliwo. Eliminując te złogi, znacząco zmniejszamy ryzyko powstawania ubytków. Co więcej, usuwanie kamienia nazębnego, który jest główną przyczyną stanów zapalnych dziąseł, skutecznie zapobiega krwawieniu, obrzękom i bólowi, przywracając dziąsłom zdrowy wygląd i kondycję.
Pożegnaj nieświeży oddech: realny wpływ zabiegu na halitozę
Nieświeży oddech, czyli halitoza, to problem, który dotyka wielu osób i często jest źródłem dyskomfortu. Jedną z głównych przyczyn halitozy są bakterie beztlenowe, które rozwijają się w kamieniu nazębnym i płytce bakteryjnej, zwłaszcza w trudno dostępnych miejscach. Profesjonalna higienizacja, poprzez usunięcie tych siedlisk bakterii, skutecznie eliminuje problem nieświeżego oddechu, przywracając świeżość i pewność siebie.
Czy higienizacja może zapobiec paradontozie?
Paradontoza, czyli choroba przyzębia, to poważne schorzenie, które może prowadzić do rozchwiania, a nawet utraty zębów. Jej główną przyczyną są długo zalegające złogi nazębne, które prowadzą do przewlekłego stanu zapalnego dziąseł, a następnie do destrukcji kości wokół zębów. Regularna higienizacja, poprzez eliminację kamienia i osadów, jest kluczowym elementem profilaktyki chorób przyzębia. Wczesne i konsekwentne dbanie o czystość zębów i dziąseł to najlepsza tarcza ochronna przed rozwojem paradontozy.
Wszystko, co musisz wiedzieć przed wizytą w gabinecie
Jak często należy wykonywać higienizację?
Zazwyczaj zalecam moim pacjentom wykonywanie pełnej higienizacji raz na 6 do 12 miesięcy. Jest to optymalna częstotliwość, która pozwala na utrzymanie jamy ustnej w doskonałej kondycji. Istnieją jednak grupy osób, dla których zabieg ten może być zalecany częściej, nawet co 3-4 miesiące. Należą do nich:
- Osoby z dużą tendencją do szybkiego odkładania się kamienia nazębnego.
- Palacze, u których osady i przebarwienia gromadzą się znacznie szybciej.
- Osoby pijące duże ilości kawy, herbaty czy innych barwiących napojów.
- Pacjenci w trakcie leczenia ortodontycznego, którzy ze względu na aparaty mają utrudnioną codzienną higienę.
Czy zabieg higienizacji boli? Rozwiewamy najczęstsze obawy pacjentów
To jedno z najczęściej zadawanych pytań! Z mojego doświadczenia wynika, że zabieg higienizacji jest zazwyczaj bezbolesny. Pacjenci mogą odczuwać pewien dyskomfort, zwłaszcza w miejscach, gdzie kamienia jest dużo lub dziąsła są już objęte stanem zapalnym. Może pojawić się również przejściowa nadwrażliwość zębów na zimno lub dotyk, ale jest to zjawisko krótkotrwałe i zazwyczaj ustępuje po kilku dniach. Fluoryzacja na zakończenie zabiegu znacząco pomaga znieść tę nadwrażliwość, przynosząc ulgę.
Higienizacja na NFZ a prywatnie: jakie są różnice i co Ci przysługuje?
W Polsce, w ramach Narodowego Funduszu Zdrowia (NFZ), pacjentom przysługuje prawo do bezpłatnego usunięcia złogów nazębnych, czyli skalingu, raz w roku. Jest to ważne wsparcie w utrzymaniu podstawowej higieny.
Jednakże, pełny pakiet higienizacji, który obejmuje również piaskowanie, polerowanie i fluoryzację, zazwyczaj nie jest refundowany przez NFZ i stanowi usługę pełnopłatną w prywatnych gabinetach. Warto pamiętać, że tylko kompleksowe podejście, czyli wszystkie cztery etapy, gwarantuje najlepsze i najtrwalsze efekty zdrowotne i estetyczne.
Ile kosztuje profesjonalna higienizacja i od czego zależy ostateczna cena?
Ceny pełnego pakietu higienizacji w prywatnych gabinetach stomatologicznych w Polsce są zróżnicowane. Z moich obserwacji wynika, że zazwyczaj wahają się w przedziale od 300 zł do 500 zł za całość. Ostateczna cena zależy od kilku czynników, takich jak miasto (w dużych aglomeracjach ceny mogą być wyższe), renoma i lokalizacja kliniki, a także zakres zabiegu (czy obejmuje wszystkie cztery etapy). Zawsze warto zapytać o szczegółowy cennik przed wizytą.

Przeczytaj również: Pilny ból zęba? To może być zapalenie okostnej! Objawy i leczenie
Życie po zabiegu: jak dbać o zęby, by efekt utrzymał się jak najdłużej?
Po profesjonalnej higienizacji Twoje zęby będą gładkie, czyste i odzyskają swój naturalny blask. Aby ten efekt utrzymał się jak najdłużej, kluczowa jest kontynuacja prawidłowej codziennej higieny jamy ustnej. Pamiętaj o regularnym szczotkowaniu zębów przynajmniej dwa razy dziennie, używaniu nici dentystycznej lub irygatora, a także płynów do płukania jamy ustnej. Jak już wspomniałam, po zabiegu może wystąpić przejściowa nadwrażliwość, która zazwyczaj ustępuje samoistnie po kilku dniach. W tym czasie warto unikać bardzo gorących, zimnych lub kwaśnych pokarmów i napojów. Kontynuowanie prawidłowej higieny to najlepszy sposób na zapobieganie ponownemu odkładaniu się osadów i kamienia, a tym samym na cieszenie się zdrowym i pięknym uśmiechem przez długi czas.